豪徳寺 梅が丘 赤堤 宮内デンタルクリニック|インプラント,メンテナンス,歯科

宮内デンタルクリニック
診療時間のご案内
  • ご予約・お問い合わせはこちら 03-5300-9100
  • HOME
診察内容




map

〒156-0044
東京都世田谷区赤堤2-17-1
ブランルージュ赤堤1F
TEL 03-5300-9100

【診療時間】
平 日 10:00~12:30
    14:00~19:30
土曜日  9:00~12:30
    14:00~17:00
休診日 水曜・日曜・祝日
宮内デンタルクリニック HOME > 審美歯科

審美歯科

審美歯科とは、痛いところだけ治したり、ただ噛めるようにするだけではなく、患者様に合った美しい口元をコーディネイトし、本来の美しさを引き出して、魅力ある笑顔をご提供することだと考えています。

ホワイトニング

「ホワイトニング」とは、ホワイトニングジェルを用いて、 エナメル質や象牙質の着色を取り除き、天然の歯の白さや明るさを増進させる方法です。 宮内デンタルクリニック では、お客様のご要望、ご都合にあわせて、次の3タイプのホワイトニング法をご用意しております。
オフィスホワイトニング
・クリニックで行う方法です
・1回の所要時間は約60~90分です
・失活歯の歯冠内のホワイトニンにも使用できます
・自宅で行うホワイトニングよりも高濃度のホワイトニング剤を使用します。

・健康な歯でも、歯の質や厚み、ホワイトニング剤の濃度といったことが影響して、オフィスホワイトニングをしたあとに歯がしみることがあります。
・虫歯や歯石、着色などが見られる場合、オフィスホワイトニングを実施する前に治療や除去が必要です。

費用  27,500円(税込)
ホームホワイトニング
・ご自宅で簡単にできます
・ケア方法はクリニックで詳しく説明いたします
・クリニックで作ったマウスピースに、自分で薬剤を塗って装着します
・約2週間程度で効果が見られます
『ホームホワイトニング』はドクターの指示のもとに、患者さんが自宅で行うことの出来る簡単な方法です。当クリニックで、患者さん専用のマウスピースを作り、ご自宅でそのマウスピースにホワイトニングジェルを流し込み、毎日2時間程度歯に装着します。

費用  上下 22,000円(税込)
デュアルホワイトニング
・オフィスホワイトニング+ホームホワイトニングを並行して行います
・単独で行うよりも効果が期待できます
・結婚式を控えている新郎新婦、パーティーに出席予定の方におすすめです
費用 オフィス+ホームの場合 44,000円(税込)

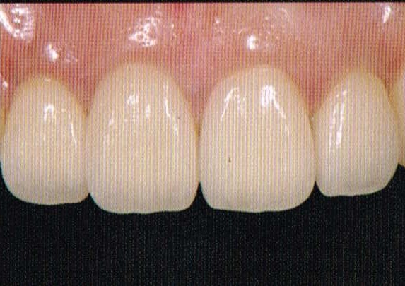
セラミック

ハイブリットセラミック(インレー)
セラミックとプラスチックを掛け合わせた素材で制作しますので、色調、強度とともに優れています。色調や透明感を天然歯そっくりに加工できるので、元の歯と違和感なく作ることができます。
オールセラミック(クラウン)
全く金属を使用しないので、もっとも天然色に近い質感・透明感が得られ、金属アレルギーの患者さんも安心してお使いいただけます。

HOME | 医院案内 | 院長紹介 | 一般歯科 | インプラント | 歯のメンテナンス | 審美歯科 | 小児歯科 | アクセス |

このページの先頭へ
〒156-0044 東京都世田谷区赤堤2-17-1 ブランルージュ赤堤1F(梅ヶ丘駅 徒歩8分/豪徳寺駅 徒歩5分) TEL 03-5300-9100
営業時間 [平日]10:00~12:30/14:00~19:30 [土曜日]9:00~12:30/14:00~17:00 [休診日]水曜・日曜・祝日

2023-宮内デンタルクリニック